About Your Spine
-

Lumbar Spine Anatomy
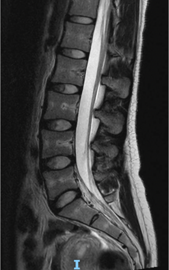
A normal lumbar MRI shows healthy discs, well-aligned bones, and open spaces for the nerves. There is no significant nerve compression or structural damage.

A normal lumbar MRI shows healthy discs, well-aligned bones, and open spaces for the nerves. There is no significant nerve compression or structural damage.