Anterior Cervical Discectomy and Fusion (ACDF)

Surgery to Relieve Nerve or Spinal Cord Compression in the Neck

Quick Summary

Anterior Cervical Discectomy and Fusion (ACDF) is a surgical procedure used to relieve pressure on nerves or the spinal cord in the neck.

  • Commonly performed for cervical disc herniation and cervical spinal stenosis

  • Removes the damaged disc pressing on nerves or the spinal cord

  • A spacer and bone graft are placed to stabilize the spine

  • The vertebrae fuse together over time

  • Often improves arm pain, numbness, weakness, and nerve symptoms

Model of human spinal vertebrae with a metal stabilization device and screws.

What Is ACDF?

Anterior Cervical Discectomy and Fusion (ACDF) is a procedure performed through the front of the neck to treat nerve or spinal cord compression in the cervical spine.

During the surgery:

  1. The damaged disc is removed (discectomy).

  2. Pressure on the spinal cord and nerves is relieved.

  3. A spacer filled with bone graft is placed between the vertebrae.

  4. The bones are stabilized so they can fuse together over time.

Approaching the spine from the front allows the surgeon to directly access the disc and relieve pressure on the nerves or spinal cord.

When Is ACDF Recommended?

ACDF may be recommended when nerve or spinal cord compression in the neck causes persistent symptoms.

Common conditions treated with ACDF include:

  • Cervical disc herniation

  • Cervical radiculopathy (pinched nerve)

  • Cervical spinal stenosis

  • Cervical myelopathy

  • Degenerative disc disease in the cervical spine

Surgery is usually considered when non-surgical treatments have not provided sufficient relief or when neurologic symptoms are worsening.

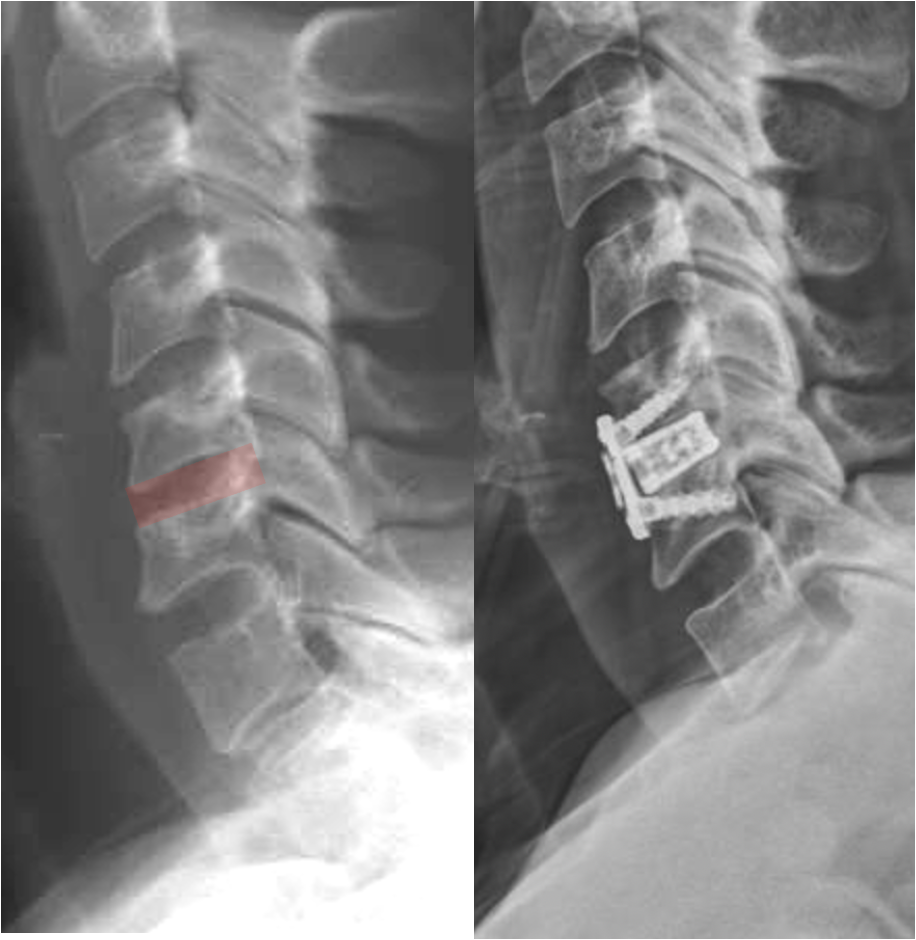
X-ray images of a human cervical spine showing a herniated disc before and after spinal surgery with hardware implanted.

How Is ACDF Surgery Performed?

ACDF surgery is typically performed through a small incision in the front of the neck.

During the procedure:

  • The surgeon carefully moves aside muscles and structures in the neck.

  • The damaged disc is removed.

  • Bone spurs or other structures compressing the nerves are removed.

  • A spacer filled with bone graft is placed between the vertebrae.

  • A small plate and screws are often used to provide stability while fusion occurs.

The procedure usually takes one to two hours, depending on the number of levels treated.

A model of a human cervical spine with a metal spinal fixation plate attached to some of the vertebrae.

Benefits of ACDF Surgery

ACDF surgery can significantly improve symptoms caused by nerve or spinal cord compression.

Potential benefits include:

  • Relief of arm pain and nerve symptoms

  • Improvement in numbness or tingling

  • Recovery of strength in the arm or hand

  • Stabilization of the cervical spine

  • Prevention of further nerve compression

Many patients experience rapid improvement in arm pain after surgery.

Comparison of spinal X-rays showing normal alignment on the left and surgical intervention with spinal hardware on the right.

Recovery After ACDF Surgery

Recovery after ACDF varies depending on the number of levels treated and the patient’s overall health.

Typical recovery includes:

  • Walking the day of surgery

  • Many patients returning home the same day or after one night in the hospital

  • Gradual return to daily activities

  • Avoiding heavy lifting early in recovery

The fusion process occurs gradually over several months as the vertebrae heal together.

Woman wearing a cervical collar and neck brace, smiling, with a navy tank top, against a white background.

Risks and Considerations

ACDF is a commonly performed and generally safe procedure, but all surgeries carry potential risks.

Possible risks include:

  • Infection

  • Bleeding

  • Difficulty swallowing temporarily after surgery

  • Nerve irritation

  • Failure of the bones to fuse

Your surgeon will discuss the risks and benefits based on your specific condition.

When Should ACDF Be Considered?

ACDF may be appropriate when:

  • Arm pain, numbness, or weakness persists despite treatment

  • Spinal cord compression causes neurologic symptoms

  • Imaging confirms disc herniation or spinal stenosis

  • Symptoms significantly affect daily activities

When performed for the correct indication, ACDF can provide excellent relief of nerve-related symptoms.

MRI scan of a human spine showing vertebrae and spinal cord.

Most Commonly Asked Questions

  • ACDF stands for Anterior Cervical Discectomy and Fusion, meaning the damaged disc is removed from the front of the neck and the vertebrae are fused together.

  • Fusion eliminates motion at the treated level, but most patients still maintain good overall neck mobility.

  • The procedure usually takes one to two hours, depending on the number of levels treated.

  • Bone fusion typically occurs over several months as the vertebrae grow together.

  • For a single level fusion, a soft cervical collar is typically recommended for comfort.

    If 2 or more levels are fused, Dr. Buza recommends a hard cervical collar (Aspen Vista) to protect and stabilize the fusion procedure.

A male doctor in a white coat with a stethoscope, smiling, standing against a gray background.

When should I see a spine specialist?

You should seek evaluation if you have:

  • Neck or arm pain persists despite treatment

  • You develop weakness, numbness, or coordination problems

  • Symptoms that interfere with daily activities

Early evaluation can help guide appropriate treatment.