Lumbar Spondylolisthesis

One Vertebra Slipping Over Another

Quick Summary

Lumbar spondylolisthesis occurs when one vertebra in the lower back slips forward over the bone below it.

  • Common cause of lower back pain and leg symptoms

  • Often associated with spinal stenosis or nerve compression

  • May develop from age-related degeneration or stress fractures

  • MRI and X‑rays help diagnose the condition

  • Many patients improve with non‑surgical treatment

Diagram of human spinal vertebrae showing a herniated disc pressing on a nerve root, highlighted in red, with arrows indicating nerve compression.
  • It means that one spinal bone has slipped forward relative to another.

  • Most cases are not dangerous, but the slip can irritate nearby nerves and cause symptoms.

  • Many slips remain stable, but some may progress slowly.

What is lumbar spondylolisthesis?

Lumbar spondylolisthesis means that one vertebra in the lower spine has shifted forward relative to the vertebra below it.

This shift can narrow the space for nearby nerves and sometimes create instability in the spine.

What causes lumbar spondylolisthesis?

There are several types of spondylolisthesis. The most common causes include:

  • Degenerative changes from aging and arthritis

  • Stress fractures in part of the vertebra (spondylolysis)

  • Congenital differences in spinal anatomy

Degenerative spondylolisthesis typically occurs in adults, while stress‑related slips may occur in younger patients.

  • It occurs when arthritis and disc wear allow one vertebra to shift forward.

  • Spondylolysis is a stress fracture in part of the vertebra that can lead to slippage.

  • Usually not. Most cases develop gradually over time.

What are the symptoms of spondylolisthesis?

Symptoms can vary depending on how much the nerves are affected.

  • Common symptoms include:

    • Lower back pain

    • Leg pain, numbness, or tingling

    • Weakness in the legs

    • Difficulty standing or walking for long periods

    Many patients also have symptoms related to lumbar spinal stenosis.

An anatomical illustration of the human back and right leg, showing the spinal cord, nerves, and muscles with nerve pathways highlighted in yellow.
A person with visible muscles is holding their lower back, which is highlighted with a red area indicating pain or discomfort.
  • The slipped vertebra can narrow the space around nerves that travel to the legs.

  • Standing upright may increase pressure on the nerves.

  • Yes. Nerve compression from the slip can cause sciatica.

How is spondylolisthesis diagnosed?

Diagnosis typically includes:

  • Discussion of symptoms

  • Physical and neurological examination

  • X‑rays of the lumbar spine

  • MRI of the lumbar spine

X‑rays show the amount of slippage, while MRI shows nerve compression.

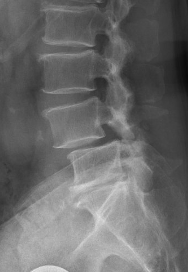
X-ray image of a human lumbar spine showing vertebrae and discs.
  • X‑rays clearly show how much one vertebra has shifted relative to another.

  • MRI shows nerves, discs, and areas of stenosis.

  • Symptoms and nerve compression are often more important than the exact amount of slip.

Do I need surgery for spondylolisthesis?

Many patients improve without surgery.

Treatment depends on symptoms, nerve compression, and stability of the spine.

Surgery may be considered when:

  • Leg symptoms significantly limit walking

  • Non‑surgical treatment fails

  • Nerve compression causes weakness

  • No. Many patients manage symptoms with conservative care.

  • Severe leg pain, nerve compression, or instability.

  • In most cases it is not urgent, but worsening nerve symptoms should be evaluated.

What are the non‑surgical treatment options?

Most patients begin with conservative treatment, which may include:

  • Physical therapy

  • Anti‑inflammatory medications

  • Activity modification

  • Epidural steroid injections

These treatments help reduce nerve irritation and improve stability.

  • Yes. Strengthening the core muscles helps support the spine.

  • No. Injections reduce inflammation around the nerves.

  • Gentle activity is usually encouraged within a comfortable range.

A woman practicing yoga indoors on a pink mat, in a plank position with sunlight streaming through large windows behind her.

What surgical options treat spondylolisthesis?

When surgery is needed, the goal is to relieve nerve pressure and stabilize the spine.

Common procedures include:

  • Lumbar decompression (laminectomy)

  • Lumbar spinal fusion

Fusion helps prevent further movement between the vertebrae.

  • Fusion stabilizes the slipped vertebra and prevents further movement.

  • In select cases, decompression alone may be appropriate.

  • Surgery is generally effective at relieving leg symptoms and improving walking ability.

X-ray image showing the cervical spine before and after spinal fusion surgery, with the right side displaying implanted screws and rods.

What is recovery like after surgery?

Recovery varies depending on the procedure performed.

Many patients notice improvement in leg pain soon after surgery and gradually return to activity over several weeks to months.

  • Initial recovery often takes several weeks, with continued healing over several months.

  • Many patients experience improvement, though recovery varies.

  • Therapy is often recommended to rebuild strength and mobility.

A smiling male doctor wearing a white lab coat with embroidered name and specialty, blue dress shirt, and patterned tie, standing against a plain gray background.

When should I see a spine specialist?

You should seek evaluation if you have:

  • Back pain lasting more than several weeks

  • Leg pain, numbness, or weakness

  • Symptoms that interfere with daily activities

Early evaluation can help guide appropriate treatment.