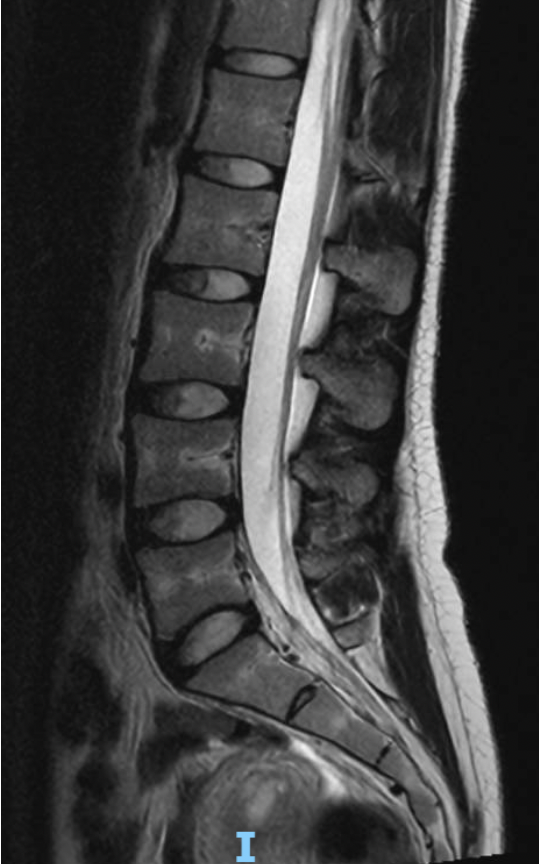
Normal Lumbar MRI

Quick Summary

A normal lumbar MRI shows healthy discs, well-aligned bones, and open spaces for the nerves. There is no significant nerve compression or structural damage.

Understanding a Normal Lumbar MRI

1. Bones, Discs, and Alignment

A lumbar MRI shows the bones (vertebrae) stacked on top of each other with smooth alignment. Between each bone is a disc, which acts as a cushion and allows the spine to move. On a normal MRI, the discs appear well hydrated and maintain their height.

The spinal canal, which protects the nerves, appears open with adequate space.

2. Spinal Cord and Nerves

The nerves travel from the spinal canal into the legs through small openings called foramina. On a normal MRI, the nerves have enough room and are not compressed by discs, bone spurs, or thickened ligaments.

Healthy nerves are important for normal strength, sensation, and coordination.

3. Soft Tissues and Supporting Structures

Ligaments, joints, and muscles help support the spine. On a normal MRI, these structures appear intact without significant inflammation or injury.

A normal lumbar MRI does not show disc herniation, spinal stenosis, fractures, or instability.

MRI scan of the human lower back spine showing vertebrae, spinal cord, and surrounding tissues in black, white, and gray shades.
A male doctor smiling, wearing a white lab coat and a blue tie, posing against a plain gray background.

When should I see a spine specialist?

You should seek evaluation if you have:

  • Back pain lasting more than several weeks

  • Leg pain, numbness, or weakness

  • Neck or arm pain, weakness, or numbness

  • Symptoms that interfere with daily activities

Early evaluation can help guide appropriate treatment.