Posterior Lumbar Decompression and Fusion (PLDF)

Surgery to Relieve Nerve Pressure and Stabilize the Spine

Quick Summary

Posterior lumbar decompression and fusion is a surgical procedure used to relieve pressure on spinal nerves and stabilize the lower spine.

  • Commonly performed for spinal stenosis with instability

  • Often used to treat spondylolisthesis

  • Combines nerve decompression with spinal fusion

  • Stabilizes the spine by joining two vertebrae together

  • Can significantly improve leg pain, walking ability, and nerve symptoms

A detailed illustration of a spinal fusion surgery showing metal rods, screws, and artificial disc replacements in the lumbar spine.

What Is Posterior Lumbar Decompression and Fusion?

Posterior lumbar decompression and fusion is a procedure performed through an incision in the back of the spine.

The surgery has two main goals:

  1. Relieve pressure on the nerves

  2. Stabilize the spine

First, the surgeon removes bone and thickened tissue that are compressing the spinal nerves (decompression).

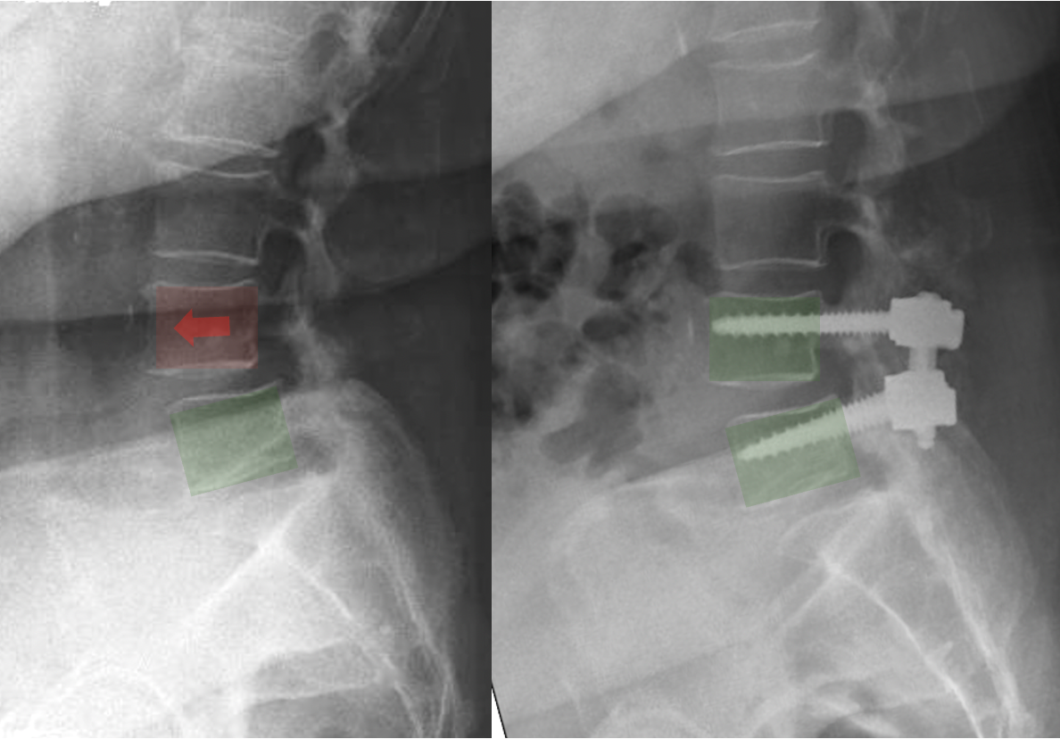
Next, the affected vertebrae are stabilized using screws, rods, and bone graft, allowing the bones to fuse together over time.

Fusion helps prevent excessive movement between the vertebrae and can improve spinal stability.

When Is Posterior Lumbar Fusion Recommended?

This procedure may be recommended when both nerve compression and spinal instability are present.

Common conditions include:

  • Lumbar spinal stenosis with instability

  • Lumbar spondylolisthesis

  • Degenerative changes causing nerve compression

  • Recurrent disc herniation with instability

Fusion is often recommended when decompression alone would leave the spine unstable.

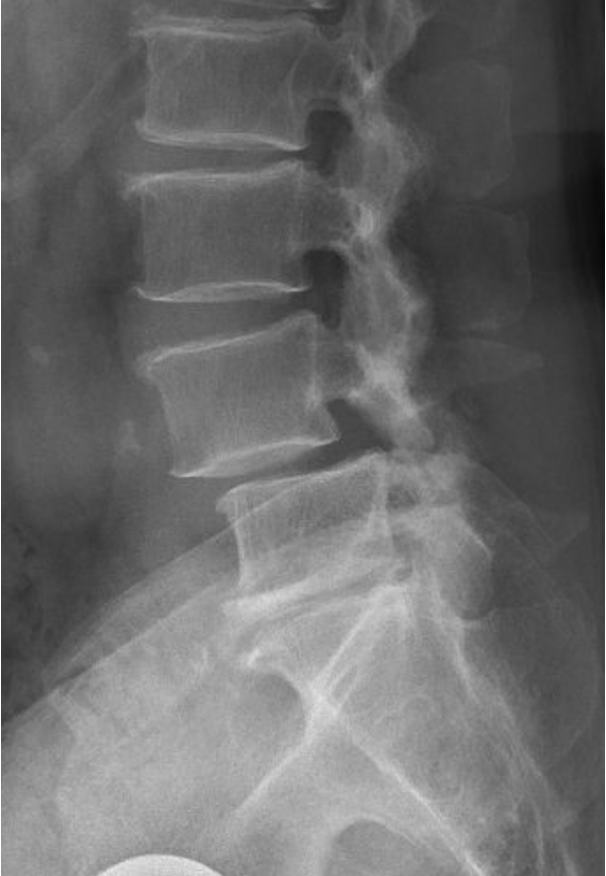
X-ray image of a human lumbar spine showing vertebrae and intervertebral discs.

How Is the Surgery Performed?

During posterior lumbar decompression and fusion:

  • An incision is made in the lower back

  • Muscles are gently moved aside

  • Pressure on the spinal nerves is relieved

  • Screws and rods are placed into the vertebrae

  • Bone graft is placed to allow the vertebrae to fuse together

Over time, the bone graft heals and the vertebrae grow together into a single solid bone.

A detailed anatomical model of the human spinal column showing vertebrae, spinal nerves, and surgical screws.

Benefits of Posterior Lumbar Fusion

Potential benefits include:

  • Relief of leg pain and nerve compression

  • Improved walking ability

  • Stabilization of the spine

  • Prevention of further vertebral slippage

  • Improved overall function

Patients with spondylolisthesis or spinal instability often benefit significantly from fusion surgery.

X-ray of cervical spine showing the placement of artificial disc implants with screws and a highlighted red area indicating a problem.

Recovery After Lumbar Fusion

Recovery after fusion surgery takes longer than smaller spine procedures.

Typical recovery includes:

  • Walking within a day after surgery

  • Hospital stay of 1–3 days for many patients

  • Gradual return to daily activities

  • Avoiding heavy lifting early in recovery

  • Physical therapy to improve strength and mobility

Fusion typically takes several months to fully heal.

A man walking outdoors on a tree-lined sidewalk, wearing a white t-shirt and black shorts, with a waist belt or device around his waist.

Risks and Considerations

All spine surgeries carry some risks.

Potential risks include:

  • Infection

  • Bleeding

  • Nerve irritation

  • Failure of the bones to fuse

  • Persistent pain

Your surgeon will discuss the risks and benefits based on your specific condition.

When Should Surgery Be Considered?

Fusion may be recommended when:

  • Spinal instability is present

  • A vertebra has slipped forward (spondylolisthesis)

  • Nerve compression causes significant symptoms

  • Decompression alone would not provide enough stability

For the right indications, lumbar fusion can significantly improve quality of life.

MRI scans showing images of the lower spine and a cross-section of the pelvis.

Most Commonly Asked Questions

  • Fusion stabilizes the spine when there is excessive motion between vertebrae or when decompression could create instability.

  • Spinal fusion means joining two vertebrae together so they heal into a single solid bone.

  • Fusion eliminates motion at the treated level, but most patients still maintain good overall spine mobility.

  • Lumbar fusion can be very effective when performed for the correct indication, particularly for conditions such as spondylolisthesis or scoliosis.

  • The bone fusion process usually takes 3-6 months, but in certain cases can take longer.

A male doctor in a white coat, smiling, standing against a plain gray background.

When should I see a spine specialist?

You should seek evaluation if you have:

  • Back pain lasting more than several weeks

  • Leg pain, numbness, or weakness

  • Symptoms that interfere with daily activities

Early evaluation can help guide appropriate treatment.